Lumbar facet injections and radiofrequency ablation (RFA) are interventional procedures commonly used in the management of chronic lower back pain originating from the facet joints of the lumbar spine . These are daycare procedures, done under fluoroscopy , under mild sedation and all the patients are discharged on the same day:
It begins with a thorough evaluation of the patient's medical history, physical examination, and review of imaging studies such as X-rays, MRI scans, or CT scans. This helps in identifying the source of the patient's back pain and determining whether lumbar facet joint pathology is likely contributing to their symptoms.
A crucial aspect of the process involves educating the patient about their condition, the proposed procedures (facet joint injections and RFA), expected outcomes, potential risks, and alternative treatment options and need of exercises after the procedure. This helps in fostering realistic expectations and informed decision-making.
Based on the patient's evaluation and imaging findings, we will determine whether lumbar facet injections or RFA is appropriate for the patient. In some cases, diagnostic medial branch blocks may be performed prior to RFA to confirm the involvement of specific nerves in transmitting pain signals from the facet joints.
Before proceeding with the procedures, we will obtain informed consent from the patient, ensuring they understand the purpose, steps involved, risks, and benefits associated with lumbar facet injections and RFA.
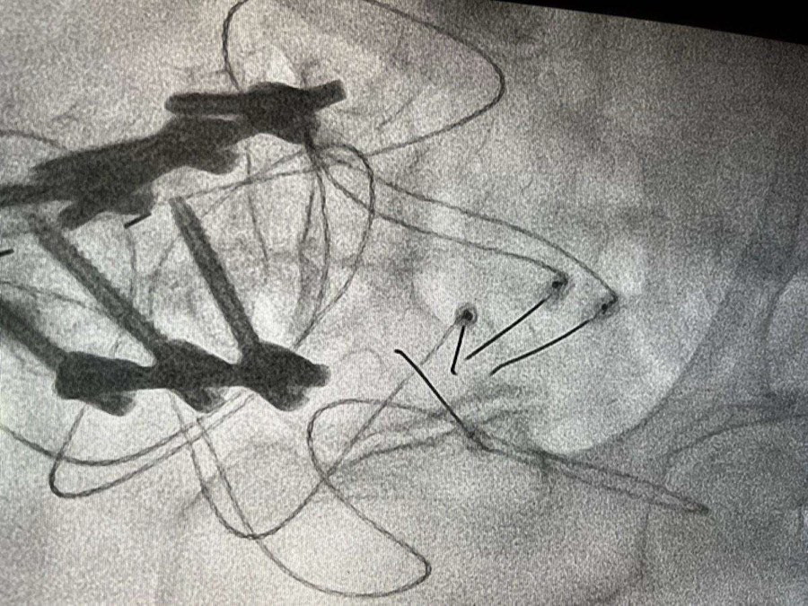
During lumbar facet injections, the patient is positioned on the tummy ( prone position) and the skin overlying the targeted facet joints is sterilized. Under fluoroscopic guidance, a needle is precisely advanced to the target facet joint, and a combination of local anesthetic and steroid medication is injected. This aims to provide both diagnostic information and therapeutic relief by reducing inflammation and blocking pain signals.
For patients who experience significant but temporary relief from facet joint injections, RFA may be recommended. This procedure involves using specialized radiofrequency needles to selectively heat and ablate the nerves responsible for transmitting pain signals from the facet joints. We carefully target the medial branches of the dorsal rami , the nerves responsible for causing back pain , under fluoroscopic guidance to disrupt pain transmission while preserving other sensory functions.
After both lumbar facet injections and RFA, patients are monitored for a short period to ensure stability and safety. They receive instructions for post-procedure care, including activity modification and pain management strategies. You may experience some soreness or mild discomfort at the injection sites, but this typically resolves within a few days. We may recommend limiting certain activities for a brief period to allow for proper healing.
Accurate documentation of the procedures, including pre-procedure assessment, procedural details, intraoperative findings, and post-procedure outcomes, is essential for continuity of care and communication with other healthcare providers involved in the patient's management.
Regular follow-up appointments allow the doctor to evaluate the long-term efficacy of lumbar facet injections and RFA, monitor for any complications, and make adjustments to the treatment plan as needed based on the patient's response and evolving clinical status.
The goal of these procedures is to provide long-lasting pain relief and improve your quality of life. While results vary from person to person, many patients experience significant reduction in pain and increased mobility following lumbar facet injections and RFA.

Overall, lumbar facet injections and RFA are valuable tools in the comprehensive management of chronic lower back pain, offering both diagnostic insight and therapeutic benefits when appropriately applied within a multidisciplinary approach to patient care.